Профессиональная гигиена в клинике «Альтамед-с»
Современные методы профессиональной чистки зубов для здоровья и красоты вашей улыбки

Профессиональная гигиена полости рта
Записаться
Услуги профессиональной гигиены

Профессиональная чистка зубов
Комплексная чистка зубов с удалением зубного налета и камня
от 6 860 руб.Записаться

Удаление зубного камня
Удаление твердых отложений с поверхности зубов
от 230 руб.Записаться

Ультразвуковая чистка зубов
Безболезненная чистка зубов ультразвуком
от 230 руб.Записаться

Фторирование зубов
Укрепление эмали зубов фторсодержащими препаратами
от 1 730 руб.Записаться
Выполненные работы
Результаты профессиональной гигиены наших пациентов

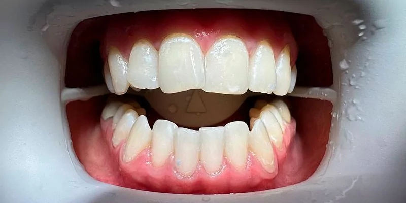
После

До
Профессиональная чистка зубов
Удаление зубного налета и камня
Врач: Прикуле Елена Юрьевна

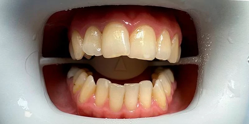
После

До
Ультразвуковая чистка
Эффективное удаление зубного камня
Врач: Крошкин Александр Дмитриевич

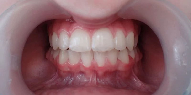
После

До
Комплексная гигиена
Полный комплекс гигиенических процедур
Врач: Рубцов Роман Владимирович
Наши врачи
Лицензии
Мы осуществляем деятельность на основании медицинских лицензий в соответствии с рекомендациями Минздрава
Цены на профессиональную гигиену
Профессиональная гигиена
Профессиональная чистка зубов
От 6 860 руб.
Удаление зубного камня
От 230 руб.
Ультразвуковая чистка зубов
От 230 руб.
Фторирование зубов
От 1 730 руб.

 255-44-50.webp)


